Clear Aligners in Hoppers Crossing
Clear aligners have changed the way adults and teens approach teeth straightening. These removable clear braces are virtually invisible, comfortable to wear, and don’t require the brackets and wires of traditional orthodontics.
If you’ve been thinking about straightening your teeth but the idea of metal braces didn’t quite appeal, our clear aligners treatment at our Hoppers Crossing dental clinic is available and could be the option you’ve been looking for.
Considering Invisalign or Clear Aligners? Book a Complimentary Consultation
At Hoppers Crossing Dentist, we offer two trusted clear aligner systems: Angel Aligners and Invisalign Go. Both use a series of custom-made, removable trays to gradually shift your teeth into position, but they suit different cases and budgets.
During your complimentary 30-minute initial consultation, we’ll assess your teeth, run advanced 3D scans and recommend the system that’s right for you along with the clear breakdown of pricing and factors you need to consider.
Our clear aligner systems
Not all clear aligners are the same, and the most appropriate system for you depends on the complexity of your case, your timeline, and your budget. We work with two leading brands to give you options that suit your situation.
Angel Aligners
Angel Aligners are our most popular choice for clear aligners in Hoppers Crossing, suitable for everything from mild crowding to more complex cases. Your treatment is AI-guided and tailored to your facial structure, with each set of aligners custom-manufactured to move your teeth incrementally toward their final position.
What makes Angel Aligners stand out is the combination of advanced technology and accessibility. They deliver comparable results to other premium aligner brands at a more accessible price point, without compromising on quality or precision. For most patients, Angel Aligners offer an excellent balance of effectiveness and value.
Invisalign Go
Invisalign is one of the most recognised names in clear aligner treatment, and Invisalign Go is designed specifically for mild to moderate cases. If you’re looking for an Invisalign dentist in Hoppers Crossing, we can assess whether Invisalign Go is suitable for your teeth straightening goals.
Invisalign Go uses the same SmartTrack material as full Invisalign treatment, with a focus on treating the front teeth (the “social six” that show when you smile). It’s a good option for patients with minor alignment concerns who want the Invisalign name and technology behind their treatment.
Invisalign vs braces: which is right for you?
The choice between invisible braces (clear aligners) and traditional metal braces depends on your specific case, lifestyle, and preferences. Clear aligners are removable, making eating and cleaning easier, and they’re far less visible than brackets and wires. However, they require discipline to wear for 20 to 22 hours per day, and they may not be suitable for severe orthodontic cases.
Traditional braces are fixed in place and work around the clock without relying on patient compliance. They can also address more complex bite issues that aligners may struggle with. That said, many adults prefer the discretion of clear aligners, especially in professional or social settings.
During your consultation, we’ll assess your teeth and bite, discuss your goals, and recommend the approach most likely to suit your needs. If clear aligners aren’t suitable for your case, we’ll tell you upfront.
Considering Invisalign for adults?
Orthodontic treatment isn’t just for teenagers. Clear aligners for adults has become increasingly popular, with many patients in their 30s, 40s, 50s and beyond choosing to straighten their teeth for the first time or address shifting that’s occurred over the years. Clear aligners are designed to fit effortlessly into adult life because they’re discreet, removable for important meetings or events, and don’t require frequent adjustment appointments.
Whether you had braces as a teen and your teeth have moved since, or you never had the opportunity for orthodontic treatment growing up, it’s not too late. Teeth can be moved at any age, provided your gums, jaw, and bones are healthy.
Curious to see your options? Schedule a consultation with our team today.
How clear aligner treatment works
If you are new to clear aligners, here’s what the process looks like from start to finish:
We'll examine your teeth, take digital scans or impressions, and discuss what you're hoping to achieve. This appointment helps us determine whether clear aligners are suitable for your case and which system (Angel Aligners or Invisalign Go) is the better fit.
Using your scans, a customised treatment plan is created that maps out exactly how your teeth will move from their current position to their final alignment. You'll be able to see a digital preview of the expected outcome before committing to treatment.
Your aligners are custom-manufactured based on your treatment plan. You'll receive a series of trays, each slightly different from the last, designed to move your teeth incrementally.
Each set of aligners is worn for one to two weeks before moving to the next set. For aligners to work effectively, they need to be worn for 20 to 22 hours per day, only removed for eating, drinking anything other than water, and brushing your teeth.
You'll have periodic appointments (usually every 6 to 8 weeks) so we can monitor your progress and make sure your teeth are tracking as expected. These appointments are typically quick and straightforward.
Once you've finished your final set of aligners, you'll need to wear a retainer to keep your teeth in their new position. Without a retainer, teeth can gradually shift back toward their original alignment over time. We'll discuss your retainer options and how often you'll need to wear it.
Treatment time varies depending on the complexity of your case, but many patients complete their clear aligner treatment within 6 to 18 months. We'll give you an estimated timeframe during your consultation.
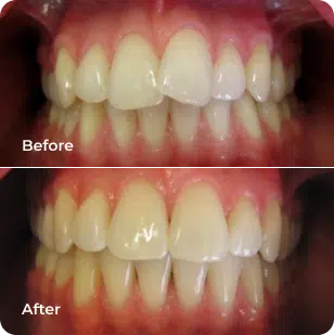
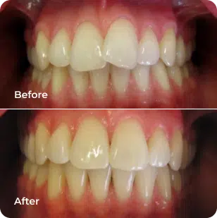
Real results from our Hoppers Crossing clinic
Every smile is different, and the scope of what clear aligners can achieve depends on your starting point and the complexity of your case. Browse our gallery to see examples of teeth straightening results from patients who have completed treatment at our clinic.
Results vary between patients. Images shown represent individual outcomes and may not reflect your experience.
Treatment: Invisalign
After photos taken during
Treatment: Invisalign
After photos taken during
Treatment: Teeth Whitening
After photos taken during
Straightening your teeth on your terms
Deciding to straighten your teeth is a personal choice, and there’s no pressure to commit before you’re ready. Some patients know exactly what they want when they walk in, while others are still weighing up whether treatment is worth it. Both are completely fine, and we’re happy to answer questions at whatever stage you’re at.
Our role is to give you honest information about what clear aligners can and can’t do for your teeth, how long treatment is likely to take, and what it will cost. If aligners aren’t the best option for your situation, we’ll let you know and discuss alternatives.
Clear aligners cost and payment options
One of the most common questions we get asked is about Invisalign cost. The price of treatment depends on the complexity of your case and the aligner system used. Angel Aligners are generally more accessible than Invisalign, making them a popular choice for patients who want quality treatment at a more manageable price point.
One of the most common questions we get asked is about Invisalign cost. The price of treatment depends on the complexity of your case and the aligner system used. Angel Aligners are generally more accessible than Invisalign, making them a popular choice for patients who want quality treatment at a more manageable price point.
- We accept on-the-spot payment for cash, cheque, & all major credit cards
- We’re a preferred provider for HCF and AHM
- Afterpay is available, allowing you to spread the cost across four installments while receiving your treatment
- DVA accepted for eligible patients
Some health funds offer rebates on orthodontic treatment, so it’s worth checking with your provider to see what’s covered under your extras.
Frequently Asked Questions
Most patients experience some pressure or mild discomfort when they start a new set of aligners, which is a sign that the aligners are working and moving your teeth into place. This sensation typically settles within a day or two. Because there are no brackets or wires, aligners sit smoothly against the cheeks and gums.
You should remove your aligners when eating or drinking anything other than water. Hot drinks can warp the plastic, and food can get trapped between the aligner and your teeth, increasing the risk of decay. It’s a good habit to brush your teeth before putting your aligners back in.
For clear aligners to work effectively, they need to be worn for 20 to 22 hours per day. This means wearing them while you sleep and throughout most of the day, only removing them for meals and oral hygiene. Wearing them less than recommended can slow down your progress or affect your results.
If you lose or damage an aligner, contact us as soon as possible. Depending on where you are in your treatment, we may advise you to move to your next set of aligners early or go back to your previous set while a replacement is ordered. Don't go without wearing an aligner for extended periods, as your teeth can shift.
Book your consultation
Curious whether clear aligners could work for you? Book a consultation at our Hoppers Crossing clinic and we’ll assess your teeth, discuss your options, and give you a clear picture of what treatment would involve. Whether it’s Angel Aligners or Invisalign in Hoppers Crossing, we’ll help you find the right fit for your smile and your budget.
Curious whether clear aligners could work for you? Book a consultation at our Hoppers Crossing clinic and we’ll assess your teeth, discuss your options, and give you a clear picture of what treatment would involve.
Whether it’s Angel Aligners or Invisalign in Hoppers Crossing, we’ll help you find the right fit for your smile and your budget.