Cosmetic Dentist in Hoppers Crossing
Your smile is one of the first things people notice, and considered cosmetic dental treatments give you options to make the most of it. Whether it’s brightening up years of coffee stains, fixing a chip that’s always bothered you, or a complete smile makeover, we’ll show you what’s possible.
At Hoppers Crossing Dentist, we offer a range of smile enhancement treatments, from subtle refinements to more comprehensive care, all tailored to what suits your face, your colouring, and what you’re hoping to achieve.
Your Complimentary Smile Makeover Consultation at Hoppers Crossing Dentist
If you are considering a smile makeover and not sure what to expect, a complimentary 30-minute consultation with our cosmetic dentist is a great place to start. During your visit, we’ll discuss your desired final look, thoroughly assess your oral health through advanced 3D scan and walk you through what is possible.
You’ll receive clear, easy to understand information about your treatment options, including fees and aftercare guidance, so you can make an informed decision in your own time with no pressure to proceed until you feel ready.
Our cosmetic dental treatments
From subtle touch-ups to complete smile makeovers, we offer a range of cosmetic treatments at our Hoppers Crossing clinic.
Dental veneers are thin shells bonded to the front surface of your teeth, designed to change their colour, shape, size, or length. They're a popular option for teeth that are heavily stained, chipped, worn, or irregularly shaped.
Porcelain veneers are custom-made in a dental lab from ceramic material that mimics the light-reflecting properties of natural enamel. They typically require two appointments (one to prepare the teeth and take impressions, another to fit the final veneers) and can last 10 to 15 years with proper care.
Composite veneers use tooth-coloured resin applied directly to the tooth and sculpted by hand, often completed in a single visit. They're generally less expensive than porcelain and easier to repair if chipped, though they may not last as long. We'll help you weigh up both options based on your goals, timeline, and budget.
Composite bonding uses the same tooth-coloured resin as composite veneers, but it's typically used for smaller repairs such as fixing chips, closing minor gaps, reshaping uneven edges, or covering discoloured spots on individual teeth.
The resin is applied in layers, shaped while soft, then hardened with a curing light and polished to match the surrounding enamel. The whole process is usually completed in one appointment with no lab work required, and it's minimally invasive. This means we don't typically need to remove any natural tooth structure.
Bonding is a good middle-ground option if you want a visible improvement without the cost or commitment of veneers. It does require some maintenance over time, as the resin can stain or chip with wear, but touch-ups are straightforward when needed.
A dental crown is a cap that covers the entire visible portion of a tooth, restoring its shape, size, strength, and appearance. While crowns are often used for functional reasons (protecting a weak tooth, restoring a broken one, or covering a tooth after root canal treatment), they're also a cosmetic solution for teeth that are severely discoloured, misshapen, or worn.
Modern crowns are made from ceramic materials like porcelain or zirconia, which can be colour-matched to blend with your natural teeth. The process typically involves two visits: one to prepare the tooth, take digital impressions with our digital scanner and fit a temporary crown. The second appointment is where we place the permanent crown once it's been fabricated.
Professional teeth whitening in Hoppers Crossing is one of our most popular cosmetic dental treatments. We use Philips Zoom!, a well-established whitening system available in both in-chair and take-home formats.
In-chair Zoom! teeth whitening is completed in a single appointment of about an hour. A hydrogen peroxide gel is applied to your teeth and activated with a special light to accelerate the whitening process. Take-home kits use custom-fitted trays and a lower-concentration gel, allowing you to whiten gradually over one to two weeks.
The results may vary, depending on the type and severity of staining, the natural colour of your teeth, and how well you maintain them afterwards. We'll assess your suitability and give you a realistic idea of what to expect during your consultation.
See what's possible
Every smile is different, and part of our job is helping you understand what’s realistic for yours. Browse our gallery to see examples of what our cosmetic dentists in Hoppers Crossing can achieve for you.
Results vary between patients. Images shown represent individual outcomes and may not reflect your experience. All cosmetic and surgical treatments carry risk. Information on treatment considerations and risks can be found here.
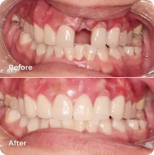
Treatment Done: Dental Crowns
After Photo Taken: 2 Weeks Post Procedure
Treatment Done: Composite Veneers
After Photo Taken: 2 Weeks Post Procedure
Treatment Done: Valplast Denture
After Photo Taken: Treatment Completion Day
Can I Use My Health Insurance for Cosmetic Dentistry?
It depends on the treatment. Some cosmetic procedures, such as dental crowns, may be partially covered under your extras cover if they also serve a restorative purpose. Teeth whitening and veneers are generally considered purely cosmetic and aren’t typically covered, but it’s always worth checking with your fund to see what applies to your policy.
We accept all major health funds via HICAPS for on-the-spot claims, and we’ll give you a clear quote upfront so you know exactly what you’re paying. If you’d prefer to spread the cost, payment plans are available through Zip Pay and Zip Money, making it easier to say yes to the smile you’ve been thinking about.
What if cosmetic dentistry didn't have to feel overwhelming?
Some people are nervous about any dental treatment, while others feel anxious specifically about cosmetic work because it feels like a big decision. Either way, we completely understand. If you’re looking for a cosmetic dentist in Hoppers Crossing who prioritises clarity and comfort, our focus is always on informed, pressure-free decision-making. We’ll never push you toward treatments you’re not sure about or rush you into committing before you’re ready.
Our approach is to go at your pace, answer every question you have, and make sure you’re genuinely comfortable with your decision before any work begins. This includes discussing any risks or limitations with an unbiased lens. For patients who need extra support during treatment, sedation options are available.
Cosmetic Dentistry FAQs
Common cosmetic treatments include teeth whitening, porcelain veneers, dental bonding, tooth-coloured fillings, and smile makeovers that combine several procedures. Your dentist can recommend the most appropriate options based on your goals, the current condition of your teeth and budget.
If you’re unsure which treatment is right for you or would like to understand the pricing options, you can book a free 30-minute consultation, which includes a detailed discussion of your concerns and a comprehensive 3D scan. This consultation helps you explore suitable treatment options and receive personalised recommendations before proceeding. BOOK NOW
Professional whitening uses higher-concentration bleaching agents that are not available in supermarket products, delivering faster and more consistent results. Treatment is carried out under our clinical supervision, which reduces the risk of sensitivity and ensures the whitening is applied evenly.
Cosmetic treatment costs depend on the procedure you’ve selected, and your individual goals. Factors such as treatment complexity, materials used, and the number of appointments required will influence the final fee. Following a consultation, we can provide a tailored treatment plan that outlines our recommended options and associated costs.
Veneers are thin shells of porcelain bonded to the front surface of the teeth to improve their appearance. They are custom-made to match the shape and colour of your surrounding teeth, giving results that look and feel natural. Because a small amount of enamel is removed from the tooth surface during preparation, veneers are considered a permanent treatment and the decision should be made in consultation with your dentist.
At Hoppers Crossing Dentist, we offer a complimentary 30-minute consultation for smile makeovers, which includes a detailed 3D X-ray. If you are looking for a smile makeover and would like to explore your options, please book your consultation from HERE
Veneers can address a range of cosmetic concerns including gaps between teeth, chips, discolouration that hasn’t responded to teeth whitening, and minor irregularities in the shape or size of teeth. Whether veneers are the right solution depends on the condition of your underlying teeth and gums, which our dentist will assess during a consultation. In some cases, an alternative treatment may be more appropriate.
A consultation with our dentist is an appropriate first step. During your appointment, your dentist will thoroughly assess your teeth, gums, bite, lip position and much more. Then they will have a discussion on your goals and explain the treatment options that may be suitable for your individual circumstances. Cosmetic procedures are generally considered once your teeth and gums are in stable health.
Book your consultation
Ready to see what cosmetic dentistry could do for your smile? Book a 30-minute complimentary consultation at our Hoppers Crossing clinic and let’s explore your options together. Whether it’s teeth whitening, veneers, composite bonding, or a full smile makeover, we’ll help you figure out what makes sense, and what it’ll take to get there.
Looking for a cosmetic dentist in Hoppers Crossing? We’d love to meet you.