Our Smiles
Results vary between patients. Images shown represent individual outcomes and may not reflect your experience. All cosmetic and surgical treatments carry risk. Information on treatment considerations and risks can be found here.
Treatment Done: Composite Veneers
After Photo Taken: 2 Weeks Post Procedure
Treatment Done: Porcelain Crowns
After Photo Taken: 2 Weeks Post Procedure
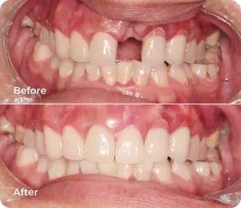
Treatment Done: Single Implant
After Photo Taken: 1 Weeks Post Insertion
Treatment Done: All-on-X (Lower)
After Photo Taken:
Treatment Done: All-on-X (Upper)
After photos taken during
Treatment Done: Valplast Denture
After Photo Taken: Treatment Completion Day
Treatment Done: Single Implant
After Photo Taken: 1 Weeks Post Insertion
Treatment Done: All-on-X (Lower)
After Photo Taken:
Treatment Done: All-on-X (Upper)
After photos taken during
Treatment Done: Composite Veneers
After Photo Taken: 2 Weeks Post Procedure
Treatment Done: Porcelain Crowns
After Photo Taken: 2 Weeks Post Procedure