Dental Implants in Hoppers Crossing
Dental implants are often the ultimate replacement option for missing tooth replacement, and for good reason. Unlike dentures that sit on top of your gums or bridges that rely on neighbouring teeth for support, implants are anchored directly into your jawbone, becoming a permanent tooth restoration that’s part of your mouth.
Whether you’re missing a single tooth or considering full mouth dental implants, these tooth restoration solutions are designed to look, feel, and function like the teeth you were born with. At Hoppers Crossing Dentist, our implant dentists have extensive experience placing single, multiple, and full arch implants using world-leading implant systems.
Your Complimentary Dental Implant Consultation at Hoppers Crossing Dentist
If you’re exploring options to replace missing teeth or looking for an alternative to loose or uncomfortable dentures, a complimentary consultation is the right place to begin. During your visit, we’ll assess your oral health, discuss suitable teeth replacement options, and outline what the process may involve so you know what to expect at every stage.
Your complimentary 30 minute consultation includes advanced 3D imaging to help assess your suitability for dental implants and any other available alternatives, along with clear information about treatment options, fees, and aftercare guidance so you can make a confident decision in your own time without pressure.
Our dental implant services
We offer a full range of tooth restoration options at our Hoppers Crossing dental clinic, ranging from replacing a single missing tooth to full mouth reconstruction.
A single tooth implant consists of a titanium post surgically placed into the jawbone, which acts as an artificial root, topped with a custom-made crown that matches your surrounding teeth. Unlike a bridge, which requires grinding down adjacent healthy teeth for support, a single implant stands on its own and preserves the integrity of your neighbouring teeth.
Once the implant integrates with your bone (a process called osseointegration, typically taking three to six months), it can provide a stable, long-lasting foundation.
If you're missing several teeth in a row, our multiple tooth implants treatment in Hoppers Crossing can support an implant bridge without needing a separate implant for each missing tooth. Typically, two or more implants are placed to anchor a bridge spanning three or more teeth, distributing the load across your jawbone and providing stable, permanent tooth restoration.
This approach is more conservative than placing individual implants for each tooth, while still offering the strength and longevity that implants are known for. We'll assess your bone density, the location of the missing teeth, and your bite to determine the optimal number and placement of implants for your situation.
For patients missing all or most of their teeth, All-on-X implants in Hoppers Crossing offer a way to restore an entire arch (upper, lower, or both) using just four to six strategically placed implants. This full mouth dental implant approach supports a fixed, non-removable bridge that looks and functions like natural teeth, without the need for individual implants for each tooth.
The implants are angled to maximise contact with available bone, which often means patients with some bone loss can still be candidates without requiring extensive grafting. All-on-X is a significant investment, but for the right candidate, it offers a permanent, stable alternative to traditional dentures that many patients find transformative in terms of comfort and function.
Implant retained dentures in Hoppers Crossing are a middle-ground option between traditional removable dentures and fixed full-arch implants. Two to four implants are placed in the jaw, and your denture clips or snaps onto them for a secure fit that won't slip or shift while eating or speaking.
The denture is still removable for cleaning, but while it's in place, it feels far more stable than a conventional denture. This option is often more accessible than full-arch fixed implants while still offering a significant improvement in comfort and function over dentures that rely solely on suction or adhesive.
Dental implants require adequate bone to anchor into. If you've experienced bone loss due to missing teeth, gum disease, or other factors, bone grafting can rebuild the foundation needed for successful implant placement. Similarly, gum grafting can restore soft tissue where it's been lost, improving both the health and appearance of your implant site.
Not everyone needs grafting, but when it is required, it's an important step that increases the likelihood of long-term implant success. We'll assess your bone and gum tissue during your consultation and let you know if grafting is recommended in your case.
What to Expect on Your Full Arch Dental Implant Treatment Journey
1. Your first appointment
Your journey begins with an obligation-free consultation that also includes a 3D X-ray. We will assess your bone structure, walk you through the procedure in detail, and give you transparent pricing across all your options, whether that’s a full implant solution, a temporary fix, or some other treatment options depending on your suitability. We want to reassure you that you have no obligation to proceed with any treatment option until you feel ready.
2. Surgery
Ready to go ahead? Once you’ve decided implants are suitable for you, we’ll book your surgery. At this stage, your implants are placed under local or general anaesthetic, depending on what you’re most comfortable with. Temporary teeth are fitted the very next day, so you’ll leave with a great looking smile while your implants integrate with your bone over the next 3-6 months.
3. Post-operative review
We will schedule your post-operative review appointment around two weeks from the surgery. During this appointment, we will assess your healing and discuss if you have any questions or concerns. These appointments are like check-points of the dental implant journey, ensuring that your healing is as predictable and comfortable as possible while allowing us to identify and address any issues early.
4. Maintenance & cleaning
While your dental implant is integrating with the jawbone, it is important to ensure the surrounding environment supports this healing process. We will schedule a professional clean and maintenance visit, which helps reduce the risk of infection and implant complications. Think of this as another guardrail along your dental implant journey, helping to keep the area healthy while the implant integrates, setting it up for long-term success.
5. Shade matching & scanning
Once your implants have fully integrated (typically four to six months after surgery, depending on your bone density and healing), we will set up an appointment to take digital scans and perform shade matching. This allows us to fabricate a custom final crown that fits precisely and blends naturally with your surrounding teeth. It is an important step in creating a restoration that looks natural and functions comfortably as part of your smile.
6. Final teeth trial
This is the exciting part. We’ll trial your custom prosthesis to check that the shape, feel, and bite are exactly right for you. We want to first make sure that everything feels as close to normal and natural as possible. If anything needs adjusting, we will address it during this appointment before ordering the permanent final prosthesis.
7. Final placement
Your teeth are in. This is the appointment you’ve been working towards, and the final step in your treatment. We’ll do a final check to make sure you’re happy with everything before you leave. You will also leave with clear instructions to care for your new dental implants at home and in between the routine dental visits.
Immediate implant placement
In suitable cases, we can place a dental implant immediately after extracting a tooth rather than waiting for the site to heal first. This is much more advantageous to the conventional implant placement where you must wait 3 months before placing an implant as it:
- Reduces your overall treatment time by combining two healing periods into one
- Avoids the inconvenience of multiple surgeries
- And helps prevent the bone loss that typically occurs after extraction, affecting the gum line which can hinder aesthetics in front teeth
Immediate placement is not indicated for all cases, but we’ll assess whether you are a candidate during your consultation.
Partial Extraction Therapy (PET)
In cases where a tooth needs to be extracted and replaced with an implant, our implant dentist may recommend Partial Extraction Therapy. Instead of removing the entire tooth, approximately 90% is extracted while a small portion of the root is deliberately left in place. This retained root acts as a natural shield, helping to maintain the bone and soft tissue architecture, particularly on the visible front side of the implant.
By preserving these tissues, the implant can often be placed with improved stability and more natural-looking gum contours. This is the gold standard for high cosmetic cases where the gum line is crucial to the patient’s smile. When performed in suitable cases, this approach has shown high success rates in clinical studies and can reduce the need for additional bone or gum grafting. We’ll discuss whether PET is appropriate for your situation during your consultation.
Getting the foundation right, literally
Not all dental implants are created equal. The system your dentist uses affects how well the implant integrates with your bone, how long it lasts, and how easy it is to maintain or repair down the track. Cheaper implant systems may save money upfront but can come with higher failure rates, limited warranties, and difficulty sourcing replacement parts if something goes wrong years later.
We use Straumann and Neodent dental implants, two of the most respected names in implant dentistry. Straumann is backed by over 40 years of research and thousands of published clinical studies, making it one of the most extensively documented implant systems in the world.
Trusted by clinicians across more than 100 countries, Straumann implants are known for their Swiss precision, superior materials, and long-term clinical success. When you have an implant placed with us, you’re getting a system that’s recognised and serviceable by implant dentists around the world.
A Closer Look at Dental Implant Outcomes
Every smile and treatment plan is unique. Explore our gallery to see real examples of dental implant restorations in Hoppers Crossing, performed by Dr Danish (DEN0002077962, General Dentist), including single-tooth implants and full-mouth solutions.
Results vary between patients. Images shown represent individual outcomes and may not reflect your experience. All cosmetic and surgical treatments carry risk. Information on treatment considerations and risks can be found here.
Treatment Done: All-on-X (Upper)
After Photo Taken:
Treatment Done: All-on-X (Lower)
After Photo Taken:
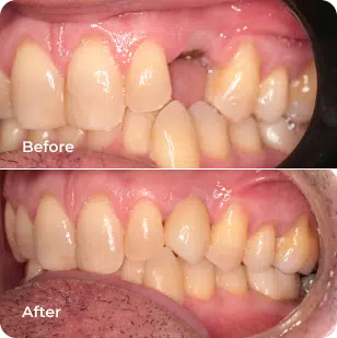
Treatment Done: Single Implant
After Photo Taken: 1 Weeks Post Insertion
What if Dental Implants Didn't Have To Feel Like a Big Step?
Dental implant treatment can raise a lot of questions, particularly when it involves surgery. Some patients feel anxious about the procedure itself, while others simply want to understand what’s involved before committing. That’s completely understandable, and it’s why we focus on clear explanations and unhurried decision-making.
Our implant dentist in Hoppers Crossing will take the time to answer every question, talk through your options, and ensure you feel genuinely comfortable before any treatment begins. We’ll also discuss potential risks and limitations honestly, so you can make an informed choice based on your needs and expectations. Sedation options are available for patients who require additional support during treatment.
Your investment for dental implants
When you’ve decided to move ahead with your treatment, it’s important to understand your options. For patients seeking affordable dental implants in Hoppers Crossing, we offer flexible payment options to help spread the cost:
- We offer on-the-spot payment for cash, cheque, and all major credit cards.
- Flexible payment options include Afterpay, which allows you to spread the cost across four instalments while receiving your treatment
- All major private health fund claims are accepted via HICAPS, and we are preferred providers for HCF and AHM.
- We accept government vouchers, including, DVA, Victorian General Dental Scheme (VGDS) and Victorian Emergency Dental Scheme (VEDS)
Dental implant FAQs
Dental implant treatment is completed over several appointments. A titanium post is placed into the jawbone under local anaesthetic, followed by a healing period to allow integration with the bone. Once healing is confirmed, a custom-made crown is fitted. Our dentist will explain each stage, including risks and alternatives, before any treatment begins.
Treatment timeframes for dental implant treatment vary depending on your clinical situation, but often it will range from three to 18 months. This includes healing time between implant placement and crown fitting. Additional procedures, if necessary, such as bone grafting, may extend the timeline. Your dentist will provide an individualised estimate after your initial assessment.
Implant placement is performed under local anaesthetic. Some discomfort, swelling, or tenderness may occur afterwards and usually settles within a few days. Your dentist will provide aftercare instructions and discuss appropriate pain management options.
Dental implants are intended as a long-term tooth replacement option. However, longevity varies between individuals and will depend on factors such as oral hygiene, overall health, and level of maintenance. Regular dental reviews are important so our dentist can monitor your implant and surrounding tissues.
Active gum disease generally needs to be treated before implant placement is considered. This is because healthy gum and bone support are important for implant stability. Our dentist will assess your oral health to determine suitability, and offer alternative treatments if required.
We also offer a free 30-minute consultation, which includes an advanced 3D scan. This helps identify your eligibility for dental implants or other tooth replacement treatments, analyse your existing oral condition, determine suitability, and highlight any preparatory treatments needed before implant procedures. If you’d like to explore your options, book your consultation today HERE
Implants should be cleaned in the same way as natural teeth, with daily brushing, flossing and regular professional check-ups twice a year. While implants cannot decay, the surrounding tissues can be affected by poor oral hygiene.
Book your consultation
Looking for an implant dentist in Hoppers Crossing? Book a 30-minute complimentary consultation to explore whether dental implants are the right fit for your needs.